

智能B超app是一款专为养猪从业者设计的检测软件,配合专用B超设备使用,连接手机后就可以查看母猪妊娠状态、各项生理指标。操作流程简单直观,比观看视频更为轻松易用。初涉养殖行业的新手、经验丰富的管理人员,用上它就能更迅速、更精确地掌握猪群健康动态,清晰的图像显示、自动生成的数据报告让每头母猪的身体变化一目了然,及时发现的异常情况为科学饲养提供了可靠依据。感兴趣的朋友快来本站下载一个试试吧!
智能B超app使用指南
1、在进入APP后,屏幕左上角会显示当前时间、深度参数,若设备未连接或未启动探头,这些值将显示为--。

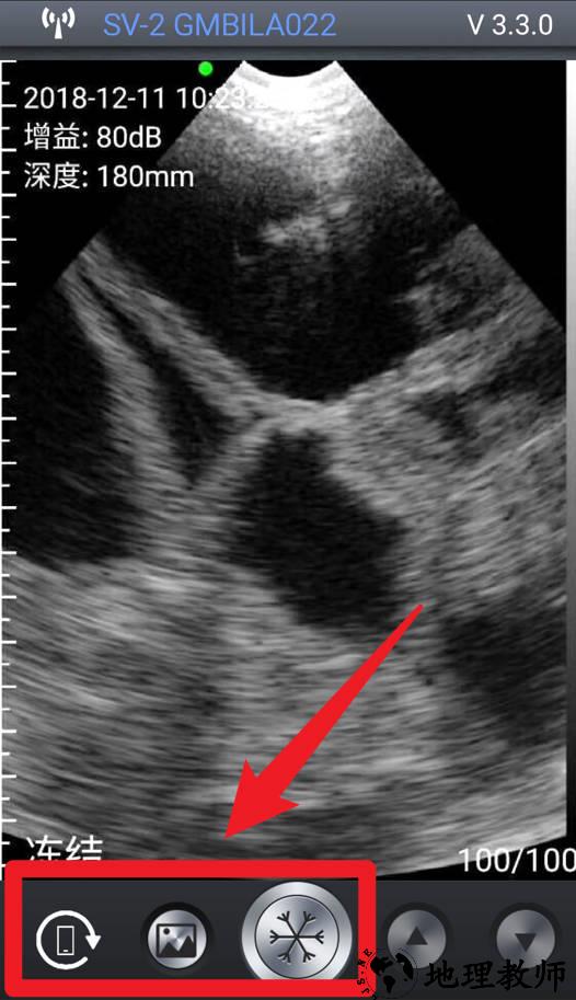
2、点击手机旋转图标,即可进行屏幕旋转控制,适应横屏或竖屏查看,提高操作便捷性。

3、当探头正常工作且图像实时显示时,界面左上角会显示具体的增益,用户可据此调整图像清晰度与探测深度。

智能B超app软件优势
1、 行业定制:专为生猪养殖设计的B超诊断方案,功能紧密贴合实际生产流程。
2、 成像精准:配套硬件协同工作,呈现高清晰度图像,辅助准确判断母猪怀胎情况。
3、 无线便捷:支持无线网络连接,摆脱物理线缆限制,检查过程灵活自由。
4、 简易操作:交互逻辑清晰明了,无需专门学习,饲养人员可快速上手独立使用。
智能B超app软件亮点
1、图像处理:提供多维度分析工具,支持影像放大、对比观察及截图保存,适应各类诊断环境需求。
2、数据记录:自动存储全部检测信息,建立完整历史档案,便于后续数据管理与变化趋势分析。
3、广泛兼容:适配多种设备型号与操作系统,保证跨平台使用的稳定性与连贯性。
4、智能识别:采用高精度检测算法,显著提升怀孕迹象识别效率,有效降低误判概率。
智能B超app软件功能
1、无线连接技术:通过蓝牙或wifi与B超设备建立稳定连接,保障数据流畅传输。
2、实时图像显示:即时呈现超声扫描画面,便于快速查看与初步判断检测结果。
3、图像处理工具:集成画面放大、对比度调节、区域截图等多种影像增强功能。
4、智能妊娠识别:基于深度学习算法自动判断母猪妊娠状态,提高诊断准确率。
5、数据归档系统:完整保存每次检测记录与图像资料,支持历史数据快速检索。
6、报告生成功能:一键生成标准化检测报告,包含关键参数与诊断建议摘要。
更新内容
v3.8.7
1、修复了应用在部分平板上无法正常连接探头的问题。
